近日,62岁的的夏先生在普外科肿瘤术后2周,因持续左侧额部、眼眶疼痛入院检查,证实了左侧后交通动脉动脉瘤,其头痛定性为动脉瘤破裂前先兆头痛,入院后当天,急诊行“脑动脉瘤裸弹簧圈栓塞”介入手术治疗。术后2天,脑动脉瘤这个“颅内不定时炸弹”已被拆掉,头痛症状明显改善。术后3天,夏先生步行出院。
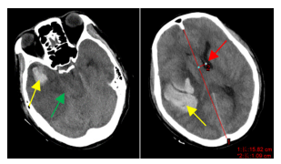
同样是脑动脉瘤,另一位50岁的朱先生就不幸去世了。朱先生因右侧头部持续性疼痛2天,但他认为是最近疲劳未休息好导致,自行服用止痛药治疗,未就诊。家人在凌晨发现其无法被唤醒,入院时已深度昏迷,在我院完善颅脑CT提示大量脑出血,导致脑疝,进一步颅脑CTA明确脑动脉瘤破裂出血(左图)为其病因,经救治还是不幸离世。

其实,随着我国跨入老龄化社会,中老年人疾病,发病率越来越高,症状明显的疾病,基本都会前往医院及时诊治,可怕的是无先兆或先兆不明显的致命性疾病!而脑动脉瘤(颅内动脉瘤),发病率达3-7%,而临床上常见于中老年人发病!面对这一致命疾病,我们该注意什么?
1.脑动脉瘤这么危险,是不是所有病人都需要治疗?
脑动脉瘤发病率这么高,平素筛查使用颅脑CTA(有辐射)或颅脑MRA(无辐射),大部分都可以被筛查出来,而有创的颅脑DSA,则是诊断的金标准。被发现得此疾患的,大部分的患者,破裂风险都不高,不需要进一步治疗,控制危险因素,随访复查即可。而对于易于破裂出血的脑动脉瘤,及时的手术干预非常重要,以避免其破裂出血导致危及生命!
2.为什么大家对脑动脉瘤这个疾病,认识比较少?
对于高血压、冠心病、糖尿病这些疾病,因发病率高,宣传得好,知识普及得广泛,大部分人都对这些常见疾病有所认识。而脑动脉瘤,在未破裂前被筛查出来的情况,却少之又少,除了它的筛查,未被列入常规体检项目,还有宣传得太少!导致患病高发人群,未能及时行相关体检排查。对于高血压、糖尿病、高脂血症、长期吸烟的人群,建议30-40岁就应行一次脑血管疾病筛查,而家族中有多个脑动脉瘤家族史的,建议青少年时期就行颅脑MRA筛查,排查此类危及生命的疾患!
3.为什么头痛,这个症状易于被人们忽视!
头痛这个生活中的常见症状,小到睡眠不足,脑血管功能紊乱可以出现。到平素发烧、感冒,或是血压控制不好,也可引起。以及常见的颈源性头痛,太过于常见,而不易引起人们的重视!
而脑动脉瘤,首次破裂出血,死亡率可达30%!其破裂出血前,一般无明显先兆,故而上面2个患者,出现破裂前先兆性头痛,如能及时发现其原因,得到及时治疗,可能就能变得非常幸运!一个患者得益于其刚好在医院住院期间发病,得到了医生的重视,并且疾病进展得不快,诊断后,当即便得到了治疗。而另一个患者,因近期工作繁忙,自己认为头痛是疲劳、休息不够导致,其破裂出血前,其实头痛的破裂先兆出现了2天时间,因症状不严重,未能引起重视,最终因脑动脉瘤破裂出血,导致悲剧的发生!故而出现固定部位的持续性头痛,即便症状不严重,一定要引起高度重视,前往医院就诊,明确相关原因,特别排查是否有危及生命的疾病,得到及时诊治,以期获得相对良好的预后!

