67岁的包姓老人家,4月前因“头痛后意识不清”,家属拨打我院120,送诊我院急诊科,于我院就诊过程中,完善“颅脑CT+CTA(CT 动脉血管造影)”,明确了“右侧后交通动脉 动脉瘤破裂伴蛛网膜下腔出血”,急诊行“开 颅脑动脉瘤夹闭术”,术后予“腰大池置管引流”血性脑脊液治疗,术后出现一过性右侧肢体无力,经过2周治疗后,病情逐步稳定。又经过 长达1月的神经功能康复,能下地行走,生活 基本自理。
然而在开颅手术治疗后4月,能独立行走,生活自理的她,突然变得需要在家人搀扶下,才能勉强下地行走,反应变得稍微迟钝,对近期事情记忆困难,无法做简单的计算题,甚至出现了大小便失禁。家人将其再次送诊我院,先后行颅脑CT及MRI,提示“脑室较前明显扩大,脑室周围渗出明显”,证实了“颅内出血后脑积水”形成,并明确其正在缓慢进展中,完善“腰穿脑脊液释放试验”后,又能下地行走,提示了“脑脊液引流治疗,对患者治疗有效”,
再次做了“左侧脑室腹腔分流”手术,完全治愈了“脑积水”这个疾病。现在,包女士又能
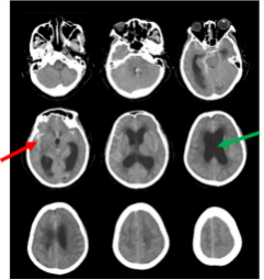
颅脑CT:蛛网膜下腔出血(红色箭头),脑室扩大(绿色箭头)

独立行走,对答如流,计算、记忆能又恢复如初,生活恢复了正常!
颅脑MRI:脑室扩大(红色箭头),脑积水形成,脑室周围渗出明显(黄色箭头)

让我们一起来了解一下,她从脑动脉瘤破裂出血后,脑积水形成,这一路出现的病情相关问题吧!
1.什么治疗方法,可以减少颅内动脉瘤破裂致蛛网膜下腔出血后脑积水发生呢?
脑动脉瘤破裂出血后,后续脑积水的形成与否,与动脉瘤破裂出血严重程度、血性脑脊液引流是否及时,后续蛛网膜下腔粘连严重程度等多种因素有关。所以,脑动脉瘤破裂出血后,建议尽早开颅或介入治疗,在脑动脉瘤这个“炸弹”被处理后,尽早行腰穿或腰大池引流血性脑脊液治疗,以期尽可能减少后续脑积水形成与发展!
2.如果出现了脑积水,需要做什么治疗呢?
对于未破裂的脑动脉瘤,在脑动脉瘤治疗后,大部分患者,仅需考虑动脉瘤是否残留、复发等情况。而脑动脉瘤破裂出血后,部分患者经治疗,即可康复,并不形成脑积水。而形成脑积水的患者,部分患者可经过自身脑脊液
分泌减少,与脑脊液吸收之间,形成微妙的平衡,从而导致脑积水静止不发展,此类患者,无明显临床症状,病情稳定,是不需要治疗的。而出现脑积水,并逐步进展的患者,建议尽早行脑脊液分流治疗。脑脊液分流治疗方式,包括脑室腹腔分流、脑室矢状窦分流、脑室心房分流、腰大池腹腔分流等,需根据患者病情,经济情况,医院条件等等制定出适合患者的治疗方案。
随着我国老龄化社会到来,老年人越来越多,应重视对脑动脉瘤等危及生命的中老年人常见病的早期发现。如有脑动脉瘤家族史、家族有遗传性疾病(如多囊肾、神经纤维瘤病)的,建议其青少年时期就完善1次脑血管疾病的筛查。而长期吸烟或伴有高血压、糖尿病、高血脂的患者,作为家里的顶梁柱,在不惑之年,可行颅脑CTA(有辐射)或MRA(无辐射)筛查,明确是否患有脑动脉瘤疾患!经专科评估,脑动脉瘤破裂风险高的,建议及早手术干预治疗,以期获得相对良好的预后!

