滴虫阴道炎现又被称为阴道毛滴虫病,是由阴道毛滴虫引起的女性泌尿及生殖道感染性疾病,且可导致盆腔炎等并发症,是全世界最常见的非病毒性性传播感染。目前仍然有很多朋广东省中医院芳村分院检验科(广州中医药大学第二附属医院)友谈虫色变,或因其反复发作而焦虑万分,或因其奇痒难耐而痛苦不已。那么究竟什么是滴虫阴道炎呢?我们是如何感染的?又该如何去预防呢?
1.什么是阴道毛滴虫?
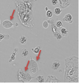
阴道毛滴虫是一种梨形的、须在显微镜下才能看到的原虫(图1)。它们不仅可以在女性的阴道、尿道中繁殖,也可以寄生在男性的尿道、前列腺、睾丸、附睾及包皮下。通常女性比男性更易感染,可表现为阴道分泌物增多,黄绿色,呈泡沫状,伴有异味。患者还可能感到外阴瘙痒、灼热感和疼痛以及尿频、尿急、尿痛的泌尿道症状。在性交时,这些症状可能会加剧。此外,滴虫还可吞噬精子导致不孕症,一些症状严重的患者还可能引起宫颈癌、子宫内膜癌等恶性肿瘤,严重影响了患者的生活质量。因此,若有任何不适应尽早就医。
图1阴道毛滴虫(宫颈拭子,生理盐水,×200)

2.阴道毛滴虫是如何进入阴道的呢?
阴道毛滴虫主要通过性行为直接传播,此外,也可以通过公共浴池、浴具、游泳池、坐式厕所、毛巾等间 接传播。阴道毛滴虫的适应性非常强,脱离人体后仍能存活很长一段时间,如:在湿毛巾中可存活1天,2~3℃的水中可存活65小时,40℃的热水中可存活2小时,甚至在肥皂水中也能存活45~150分钟。因此,保持良好的个人卫生习惯是非常重要且必要的。
3.如何诊断阴道毛滴虫病呢?
医生通常会进行妇科/男科检查,并采集阴道分泌物/尿道拭子进行实验室检查。当我们在显微镜下观察分泌物时发现有波状运动的滴虫,就可以确诊为阴道毛滴虫病。当然,在采集分泌物前24~48小时应避免性生活、阴道灌洗或局部用药,取分泌物时阴道窥器不涂润滑油,取出后半个小时内送检。在治疗方面,主要选用口服硝基咪唑类药物,包括甲硝唑和替硝唑,患者需要在医生的指导下进行治疗,并按照医嘱规范完成治疗疗程。除了治疗外,患者还需要注意以下几点:①因有10%~50%的女性阴道毛滴虫感染者和15%~50%的男性阴道毛滴虫感染者虽然感染了阴道毛滴虫,但没有明显的症状,因此,同房时一定要戴避孕套。②性伴侣也需要接受相应的检查和治疗,避免反复感染。③养成良好的个人卫生习惯,内裤、毛巾、浴盆等私密用品要独用,用后煮沸消毒。④避免使用公共浴池、游泳池等可能存在毛滴虫的环境。⑤定期进行妇科检查,做到早发现、早治疗。
阴道毛滴虫病虽然令人不适,但并不可怕,只要我们了解它、预防它、及时治疗它,就能有效地控制这种疾病,多数患者经过及时规范的治疗可以在短时间内治愈。因此,患者需要树立信心,注意个人卫生,积极配合医生的治疗。同时,社会也应积极开展妇女健康宣传教育活动,提高女性的健康意识,使妇科疾病不再是难以启齿的话题,让越来越多的女性开始关注自己的身体健康,定期进行妇科检查,做到早发现、早治疗。
让我们共同努力,为女性的健康保驾护航,让每一个女性都能拥有一个健康的身体,享受美好生活。

