贵州航天医院成功开展胸腔镜微创巨大隔疝修补术
来源:贵州健康报 时间:2024-06-15 浏览次数:
在我们体内,有许多看似平凡却至关重要的器官,它们默默合作,保障我们的生命活动能够持续且稳定地进行。其中,膈肌就是这样一个不可或缺的角色,它如同一道屏障,将胸腔和腹腔分隔开来,同时也参与呼吸的过程。然而,当膈肌出现问题时,一种名为膈疝的疾病就可能悄然发生,给我们的生活和工作带来诸多困扰,甚至威胁到我们的生命。

8年前,患者刘奶奶被当地医院诊断为“冠心病”,一直口服药物治疗,但效果不明显。

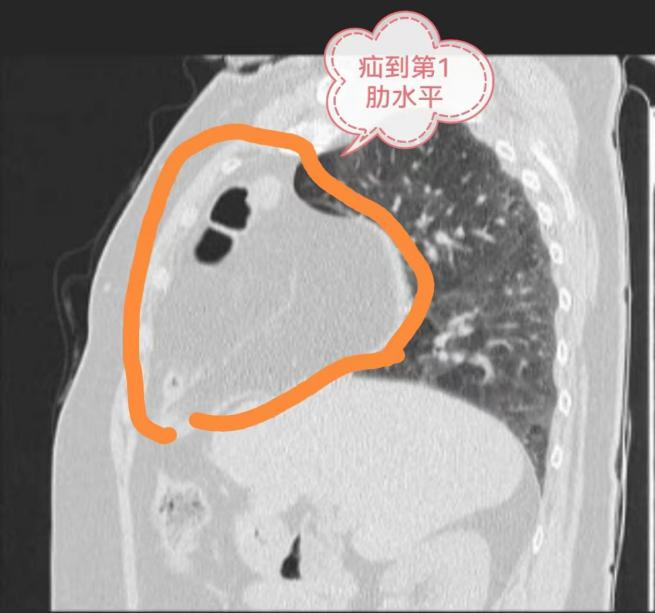
近日,刘奶奶(75岁)来到贵州航天医院做了胸部CT、冠脉造影等检查,经过心血管内科、呼吸与危重症医学科、心胸外科、影像科等多学科会诊讨论,确诊并没有冠心病,而是因为有“膈疝”导致她的一系列症状。而且,刘奶奶的膈疝还非常严重,腹部的肠管和网膜已经“跑”到右侧胸腔顶部去了,还占据了整个右侧前胸腔,难怪会出现那么明显的症状。通常这类严重的膈疝多采用开放手术,需要至少15厘米长的切口。

贵州航天医院心胸外科陈光春主任团队经过精心术前准备,为刘奶奶行胸腔镜下微创膈疝修补术,仅仅在胸壁打了4个0.5-1.0cm小孔,就成功将“疝”移到右侧胸腔的肠管和网膜等腹腔内容物送回了腹腔,并将膈肌缺损的部位缝合加固,手术圆满成功。术后4天,刘奶奶各项指征恢复正常出院,她发现之前那些活动后胸闷、心悸、气促、呼吸困难等症状都消失了,一口气能走上四五楼都毫无压力。

刘奶奶的这个症状在术后得到缓解了,她感叹“这个手术过程,仅仅在胸部打了几个小‘洞洞’就完成了,术后恢复还这么快!感谢航天医院的精心诊治!”
(来源:贵州航天医院)
编 辑:向 烨
二 审:毕 锋
三 审:赵 亮