“心累”的膈膨升症患者辗转多家医院后,最终在贵州航天医院成功治疗
来源:贵州健康报 时间:2024-06-12 浏览次数:
近日,家住遵义的一名55岁患者李某,因活动后喘累、气促多年,辗转多家医院就诊无果,终于在贵州航天医院成功治疗。

几年前,李先生爬坡上楼就开始有点喘累、呼吸急促,但是自己并未引起重视。

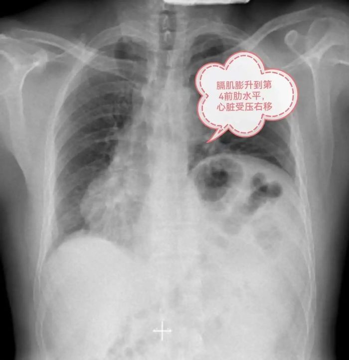
1年前,李先生症状加重,爬到2楼中途都需要缓口气休息,于是到当地某大型三甲医院就诊,入住心血管内科,做了心脏血管造影、心脏彩超、胸部CT、抽血化验等很多检查,住院两周,医生告诉他心脏没什么大问题,仅是左侧胸腹腔之间的膈肌位置有点抬高,心脏位置有些右偏,属于先天异常,无需治疗,随即李先生办理出院。
李先生的症状仍没有得到缓解,又先后辗转到贵阳市2家三甲医院就诊,同样诊断为膈膨升症,两家医院均未给出缓解症状和治疗的合理方案,于是李先生又开始继续寻医之路。
热心邻居向他推荐去西南医院,在咨询该院医生后,医生建议李先生“不用跑这么远,到贵州航天医院一样可以治疗”。

李先生来到贵州航天医院门诊,刚好遇上心胸外科陈光春主任坐诊专家门诊,陈主任听闻李先生的病情后,详细介绍了膈膨升症的相关问题,并告诉他手术后的效果,为他仔细分析病情,告诉他“心脏虽然位置有些右偏,但心功能是正常的,不会影响手术效果”。

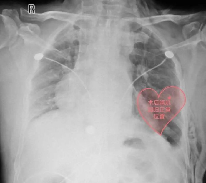
入院后第4天,心胸外科团队经过充分的术前准备,在全麻下为李先生行电视胸腔镜微创膈肌折叠缝合术,术后各项指征恢复正常,顺利出院。出院后,爬坡上楼再也不累了、不喘了,一口气走上4楼也没问题。

为此,李先生感叹历时1年多,走了这么多家大医院,最终选择在贵州航天医院就诊,无论是门诊、手术室,还是住院部、辅助检查科室,医护人员服务态度都非常好,解释病情也非常耐心仔细,让人感觉非常专业非常有水平,所以才决定就在贵州航天医院手术治疗,治疗效果也证实自己的选择是非常正确的。

在医院的晨读会上心胸外科就介绍过“膈膨升症”疾病的知识,以及采取的微创手术治疗效果。此次李先生首次挂号的并非心胸外科,而是挂的呼吸科,因呼吸科的门诊医生听患者自我阐述在其他医院诊断是膈膨升症,呼吸科医生立即带患者到心胸外科门诊就诊。
贵州航天医院每周三举行的“晨读会”,通过不同学科、不同专业的讲解汇报,拓展医院各层级医务人员的知识结构,解决临床遇到的难点和问题,凝聚发展合力,以医院晨读会推动各科室形成常态化学习机制,营造全院比学赶超良好氛围,进一步提升医疗服务质量,以“小进步”促进“大发展”,为健康遵义建设贡献医院力量。
(来源:贵州航天医院)
编 辑:向 烨
二 审:毕 锋
三 审:赵 亮