听力下降、面颊痛、脸麻木, 浙江省人民医院毕节医院精准“摘瘤”
来源:贵州健康报 时间:2024-05-29 浏览次数:
听力下降、面颊部疼痛、脸有麻木感,本以为没什么大问题,令患者没想到的是,原来竟然是“听神经瘤”在作怪!
近日,浙江省人民医院毕节医院(以下简称“浙毕医院”)神经外科手术团队为患者行“右侧乙状窦后入路听神经瘤切除术”后,听力恢复理想,回归正常生活。

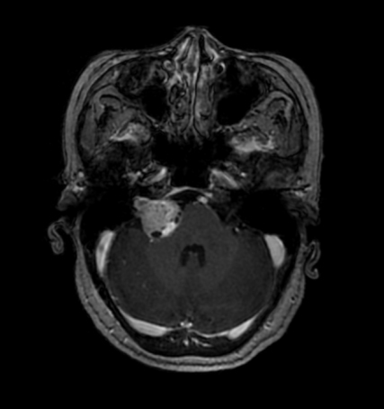
术前

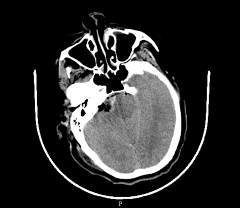
术后CT
62岁的女性患者李某系毕节市纳雍县人,近6年来,右侧听力逐渐下降,以为是随着年龄的增长导致的正常现象,并没有重视,后来出现右侧面颊部疼痛,呈间断性针刺样,伴右脸麻木感。在外院行颅脑MRI示:右侧桥小脑角区占位,内听道扩大。
4月2日,患者来到浙毕医院并挂了神经外科行政主任肖炳祥的门诊号。
经肖炳祥详细查看患者检查资料并结合病情,考虑右侧前庭神经鞘瘤(听神经瘤),属于常见肿瘤,遂将患者收入神经外科副主任王磊波治疗组。
进一步完善相关检查,患者被明确确诊为颅内占位性病变:右侧听神经瘤。
术前精心准备后,4月7日,肖炳祥和神经外科业务主任张卫华及王磊波,共同为患者完成手术。
术后,患者神志清楚,右侧听力保留,无明显面瘫表现,第9天顺利出院。
“听说浙毕医院有浙江省人民医院派驻来的专家,我就想着来‘试一下’,看能不能治好,没想到手术后还真不错,不仅面颊部不痛、脸没有麻木感,而且耳朵听力也基本恢复,国家区域医疗中心建设,让我老百姓不出毕节,就能治好病,感谢党的惠民政策”。李某说。
新闻延长线:
什么是听神经瘤?
据肖炳祥介绍,听神经瘤严格应该称之为前庭神经鞘瘤。一般是起源于从内听道移行到脑干端,前庭神经。这个地方有一段是没有鞘膜的,容易导致细胞分裂、增殖产生肿瘤。
前庭神经鞘瘤是一个良性肿瘤,生长极其缓慢。在早期会引起持续的耳鸣。可以刺激神经导致眩晕,走路不稳。随着肿瘤的增大,就会压迫相应的其它的神经。尤其是在打电话的时候,觉得手机里的声音越来越小。再进一步长大压迫面神经,会出现面瘫,不能闭眼,额纹消失,口角歪斜。再压迫往上长到内听道端压迫脑干,小脑会出现受损的症状,走路不稳,摇晃。再进一步往上长,压迫三叉神经,就会出现面部的麻木、疼痛、角膜反射减退。再大的话,压迫中脑水管,四脑室中脑水管就会引起脑积水,脑积水严重,颅内压增高,剧烈头痛。再往下压迫后组颅神经,出现后组颅神经损伤的症状,或者颅神经包括舌咽神经、迷走神经、副神经。这些神经控制人的说话、声音嘶不嘶哑、喝水呛不呛,耸肩有没有力气。
显微外科手术切除目前是公认的首选治疗方法,目前,随着对该疾病的认识及术中监测的运用,很多患者术后不仅能保留面神经功能,部分患者还能保留听力功能。
(本报通讯员 王磊波)
编 辑:周 岩
二 审:文 叶
三 审:高学军