全国最小年龄!上海儿童医学中心贵州医院为出生 仅6天的宝宝实施腹腔镜下肝脏肿瘤切除术
来源:贵州健康报 时间:2024-02-29 浏览次数:

近日,上海儿童医学中心贵州医院儿童普外/胸外/血管瘤科成功为一名出生仅6天的新生儿施行腹腔镜下肝脏肿瘤切除术,手术过程顺利,目前患儿已进入康复阶段,病情平稳。
闻所未闻!新生儿会长肿瘤?
在孕38周常规产检时,医生告知小娟(化名),她肚子里的宝宝肝脏出现了一个“橙子”般大小的包块,但性质不详。宝宝还没出生就长肿瘤!这个消息让整个家庭都陷入了恐慌和无措,在经过反复的讨论及多家医院就诊咨询后,小娟和丈夫还是决定生下宝宝,等宝宝出生后再倾力为其治疗。今年2月,这个龙宝宝在当地医院顺利出生,经朋友推荐,小娟和丈夫带着仅两天的宝宝来到上海儿童医学中心贵州医院就诊。
多学科联合,为生命保驾护航!
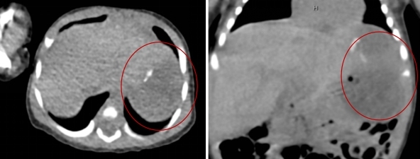
接诊当天,新生儿科迅速安排宝宝入住了病房,同时组织儿童普外/胸外/血管瘤外科、麻醉科等多学科团队进行术前会诊,对宝宝的情况做周密的评估。入院时宝宝身长52cm,体重3.0Kg,肚子仅“成人手掌”一般大小!术前检查显示,患儿肝脏左外叶有一大小约51x48x35mm的包块,考虑肝脏左外叶肿瘤可能性大,有手术干预指征!经讨论,决定采用“腹腔镜下肝脏肿瘤切除术”的治疗方案。

腹部CT可见肝脏左外叶包块--红圈标注
手术有序进行,入院的第四天,患儿被送进了手术室。儿外科唐应明主任团队与各科室紧密配合,小心操作,手术历时75分钟,肿瘤被顺利切除。术后患儿转入新生儿科,第2天即可开奶,无术后并发症发生。查阅文献资料,该例患儿为国内最小年龄接受腹腔镜肝切除术的病例!
据唐应明主任介绍,对于新生儿肝脏肿瘤切除,通常采取的是传统的开腹手术,不仅损伤大,术后恢复慢,还会在患儿腹壁留下巨大的手术瘢痕,影响美观。同时新生儿肝脏肿瘤切除手术即便是开腹手术也面临巨大的风险,新生儿血容量接近 300ml,即便快速失血20-30ml也会对孩子生命安全造成威胁。腹腔镜下没有行肝门阻断,在狭小的空间内行肝脏肿瘤切除手术,手术难度系数和风险极大,要求手术精益求精。 近年来,随着产前诊断技术的发展和提高,许多胎儿期的疾病在产前超声检查中即可被发现,这为“早诊断、早治疗”提供了坚实基础,也为提高手术成功率创造了良好的条件。
唐应明主任团队正在为孩子行腹腔镜下手术治疗
上海儿童医学中心贵州医院建设的目标之一就是让贵州的患儿治病不出省,让孩子们在家门口就能得到良好的就医条件及治疗效果。“精准化、微创化”是儿童外科的发展理念,特别是在新生儿外科领域,更需取得突破。在保证治疗效果的前提下,最大限度减少手术创伤,加速患儿术后康复,让孩子们健康成长。
(贵州健康报通讯员 覃智杰)
编 辑:石磊
二 审:杜明
三 审:龙艳