消化内镜诊疗进入“4E”时代——贵州医科大学附属白云医院成功开展首例超声内镜引导下细针穿刺术
来源:贵州健康报 时间:2024-02-27 浏览次数:

近期,贵州医科大学附属白云医院消化内科在麻醉科手术室的密切配合下,成功开展首例超声内镜引导下细针穿刺术(EUS-FNA)。此项新技术的开展,标志着该院消化内科开启4E时代,内镜下微创水平再上新台阶。据悉,省内仅有几家医院可自行开展此技术。
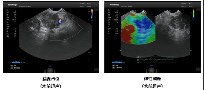
中年男性患者,腹痛3月,多次影像学检查提示胰腺病变,但具体良恶性质一直未能得到明确。由于胰腺位置深,经皮穿刺很多情况下无法获取胰腺肿瘤标本,而超声内镜技术可在胃或十二指肠内以最近的距离对胰腺进行扫查,并进行穿刺活检。经白云医院消化内科会诊后,及时安排实施超声内镜引导下细针穿刺术(EUS-FNA),医院消化内科刘朋副主任用精湛医术护佑生命健康,手术顺利完成,术中在超声内镜扫查下已基本诊断为恶性肿瘤,术后穿刺组织条在病理科医师耐心、专业的阅片后确诊为胰腺癌,病变的良恶性终于明确,患者也即将进行肿瘤专科治疗。


手术中

超声引导下穿刺

穿刺术后病理
“4E”技术是指消化内镜难度较大的4类手术,包括:EUS(超声内镜)、ESD(内镜粘膜下剥离术)、EVL(内镜下食管静脉曲张套扎术)、ERCP(经内镜逆行胰胆管造影术) 。超声内镜(EUS)是将内镜和超声相结合的消化道检查技术,将微型高频超声探头安置在内镜顶端,当内镜插入体腔后,在内镜直接观察消化道黏膜病变的同时,可利用内镜下的超声行实时扫描,可以获得胃肠道的层次结构的组织学特征及周围邻近脏器的超声图像。超声内镜引导下细针穿刺(EUS-FNA)就是在超声内镜引导下运用一根纤细的活检针经过内镜活检孔道对相应病变进行抽吸活检,通过活检,可以获得病灶的细胞、组织学诊断,从而明确病变性质。
目前,该院消化内科已全面开展消化系统疾病的各项诊疗技术及多项创新特色技术,包括消化系统常见、疑难及各种危急重症诊疗。开展内镜特色诊疗技术:( 1 )消化道疾病:消化道早癌及良性肿瘤的内镜诊治(包括消化道早癌筛查和精查,超声内镜、放大内镜,胶囊内镜等检查,EMR、ESD、STER等治疗手术);消化道狭窄的内镜治疗(扩张、支架及贲门失弛缓症POEM 手术治疗);消化道出血;内痔内镜下治疗等。( 2 )肝胆胰疾病:肝硬化食道胃底静脉曲张破裂出血的内镜下治疗;超声内镜引导下的穿刺活检及介入治疗;胰腺疾病诊治。
(供稿:贵州医科大学附属白云医院 周佳)
编 辑:石磊
二 审:杜明
三 审:龙艳