支架植入,撑起“心”的希望——开阳县人民医院常规开展各种支架植入术
来源:贵州健康报 时间:2024-02-23 浏览次数:

近日,开阳县人民医院心血管内科成功为一名头痛患者实施了回旋支支架植入术,术后患者头痛症状消失,回家开心过年。该手术开展一年多来,为众多患者带来了“心”的希望,构筑起一道“心”健康安全防线,标志着开阳县人民医院在治疗心血管疾病领域又多了一项“硬技术”,为广大患者带来了福音!
病例一
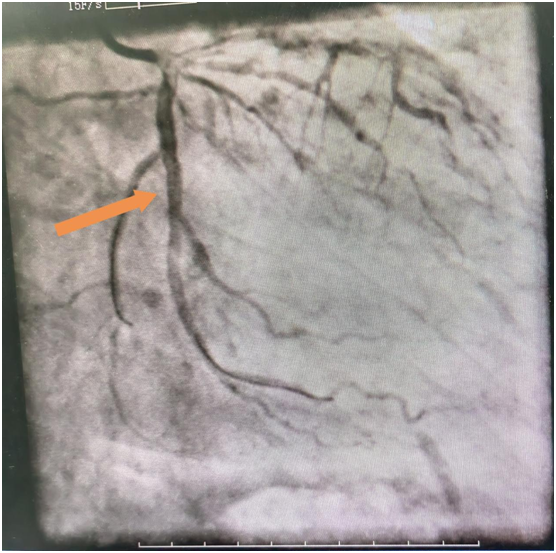
60岁的吴老伯患高血压病4年多,平时口服降压药物,没有规律监测血压,3年前患脑梗,治疗后好转,没有遗留明显后遗症,出院后没有规律服用药物治疗,出院时医师反复交代戒烟,吴老伯也没有放在心上。最近吴老伯在于熬夜后感头痛不适,起初头痛能自行缓解,随后感头痛症状反复发作,在快步行走及爬楼梯时明显,休息10多分钟可缓解,因症状反复发作,来到开阳县人民医院就诊,心血管内科医师在详细询问病史后,考虑吴老伯是冠心病高危人群,且头痛与活动相关,高度怀疑心绞痛,建议住院治疗,最开始吴老伯还很纳闷,明明是头痛来看病,怎么就变成心绞痛了?我没有胸痛啊!虽然心里有疑问,吴老伯还是接受医师的建议住院完善冠脉造影检查,果然冠脉造影明确了心脏回旋支有弥漫性狭窄,狭窄最重85%,前降支狭窄最重处75%,明确了头痛原因就是心绞痛。随即,心内科介入团队为吴老伯进行了回旋支支架植入术。植入支架后,吴老伯活动时头痛的症状也消失了。可以回家过个安稳的春节了。
冠脉造影结果

支架置入术后效果
病例二
黄婆婆,75岁。因胸痛一天后入院。患者于1月19日11:47到达医院急诊科,11:49急诊科护士接诊患者,11:51急诊科医生接诊患者,11:53完善心电图检查,经快速判读心电图诊断为:急性下壁ST段抬高型心肌梗死,经胸痛一包药口服(硫酸氢氯吡格雷片300mg、阿司匹林肠溶片300mg、阿托伐他汀钙20mg),因患者超过急诊手术时间窗,故收入心内科病房监护治疗,择期造影检查。患者于1月21日突然出现心率减慢,波动在45次/分左右,立即复查心电图确诊为三度房室传导阻滞,如图所示:
结合患者病史,考虑为急性下壁心梗,右冠闭塞,房室结缺血所致,患者心率显著减慢,有发生猝死可能,需立即开通右冠,恢复房室结血运,方能恢复心率。患者病情危重,经心内科介入团队讨论后,决定行临时起搏器治疗保驾下急诊冠脉造影+支架植入术。与患者家属充分沟通后,家属同意手术。随即转往手术室,在DSA指导下,首先完成临时起搏器植入治疗。如图:
植入临时起搏器后,患者心率维持在起搏心率60次/分,为急诊支架植入术提供强有力的保障,避免术中猝死。急诊冠脉造影提示右冠状动脉急性闭塞,造影图示:

植入支架后患者右冠恢复血流,患者胸痛缓解,复查心电图未见房室传导阻滞。该患者为开阳县人民医院首例临时起搏器保驾下急性心肌梗死支架植入术,标志着该院心内科介入治疗水平明显提高,具备急诊支架植入术的能力。
近年来,开阳县人民医院通过人才引进、配备先进设备、完善硬件设施,同时加强专科共建、人才培养、学术交流等方式,使医院综合医疗服务能力稳步提升。目前,开阳县人民医院心血管内科能够常规开展常规开展冠状动脉造影及支架植入术,已成功完成百余例支架植入术,其中急诊支架植入术十余例,部分患者经急诊冠脉造影、PCI治疗效果明显。下一步,医院将以“微创介入中心”建设为契机,不断提升关键性诊疗技术能力,在肿瘤、心血管、神经、综合、外周血管等微创介入手术治疗方面取得新成效,为更多的心脑血管病患者提供优质的医疗保障服务。
科普时间
心绞痛是由于冠状动脉狭窄或部分闭塞,血流量减少,引发动脉供血不足造成的心肌急剧的、暂时的缺血或血压的一种心脏急症。可由劳动、情绪激动、饱食、寒冷等因素诱发,主要表现发作性胸痛、胸部憋闷、紧缩感,通常休息可缓解,使用硝酸酯类药物也可缓解。但临床也有部分患者表现为不典型的心绞痛,比如心慌、心悸,有的患者甚至出现类似于胃部疼痛的症状,还有患者可以出现颈部、咽喉部以及下颌部疼痛、牙痛、上肢疼痛,或像吴老伯一样,表现为头痛,这些情况极易误认为是牙痛或耳鼻喉科或外科的问题,但上述症状若与活动、情绪等相关,则需提高警惕,及时到医院就诊,及时治疗,避免急性心肌梗死发生,降低死亡风险。

同时,为降低冠心病的发生,生活中应注意以下几点:定期监测血脂、血压;养成规律运动的习惯;均衡饮食,适当进食水果、粗粮;戒烟酒;积极治疗慢性病。
编 辑:石磊
二 审:杜明
三 审:龙艳