国家区域医疗中心|这面锦旗,是认可,更是责任
来源:贵州健康报 时间:2023-12-19 浏览次数:
我愿天地炉,多衔扁鹊身。近日,中山一院贵州医院神经外科收到患者送来锦旗致谢,锦旗上写着“医术精湛,医德高尚”。患者手捧锦旗激动说到:“真心谢谢向欣主任和郭照飞医师的专业负责,也十分感谢神经外科每一位医护人员对我的关心和照顾”。这面锦旗不仅代表了医患之间的和谐与情谊,也表现出患者对医护人员的信任以及医护人员对患者那份沉甸甸的责任。
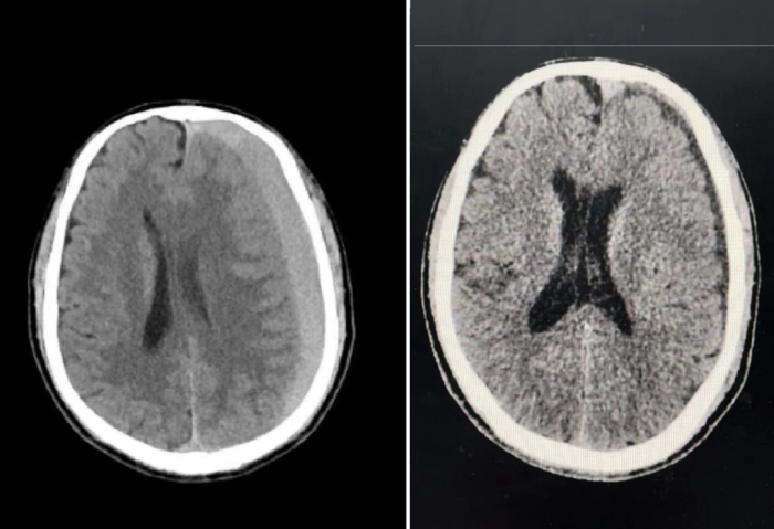
据悉,患者1个月前因颅脑外伤于其他医院治疗后好转出院。然而1个月后复查,通过颅脑CT发现亚急性期硬膜下血肿,为寻求更好的诊治,患者选择到中山一院贵州医院寻求更专业的治疗。

接诊后,神经外科主任医师向欣团队结合检查发现患者颅内血肿量较大,中线结构明显偏移,非手术治疗已无法清除血肿,手术指征明显。经团队讨论,迅速制定了急诊手术方案,为患者在急诊下行微创钻孔引流术,手术过程十分顺利,在紧急并有条不紊的情况下,保障了患者生命安全。术后,在医护人员精心的护理和关怀下患者恢复良好,第二天便能下床自如活动,最后患者康复出院。
无影快刀除隐患,有方奇术解沉疴。这次手术,对于患者家庭而言是天大的事,但对于医护人员来说却是每天都要面对的挑战。高风险、高技术的疑难杂症总是接踵而至,中山一院贵州医院神经外科的医护人员也将继续以高尚品德和专业素养为患者服务,赢得每位患者的信任。
亚急性硬膜下血肿

亚急性硬膜下血肿是指受伤后3天至3周内发生的颅内出血血液积聚在硬脑膜下方的血肿。这类血肿大多由于颅脑外伤引起,如车祸伤、摔伤等。脑萎缩、长期使用抗血小板药物、抗凝药物也会诱发此病。
亚急性硬膜下血肿发病较为隐匿,患者可能会出现头痛头晕、认知功能受损、情感淡漠等症状,通常伴有意识障碍。如何治疗取决于出血量及患者的一般情况。
(来源:中山一院贵州医院)
实习编辑:王瑾瑜
编 辑:向 烨
二 审:毕 锋
三 审:赵 亮