麻醉保安全,眼睛一睁望明月,手术成功过双节!
来源:贵州健康报 时间:2023-10-08 浏览次数:
中秋国庆,桂花袅袅,情满人间!月光所至,事事如愿!“心大”的卢先生度过了一个生命中难忘的中秋国庆节。

2023年10月1日骨科查房
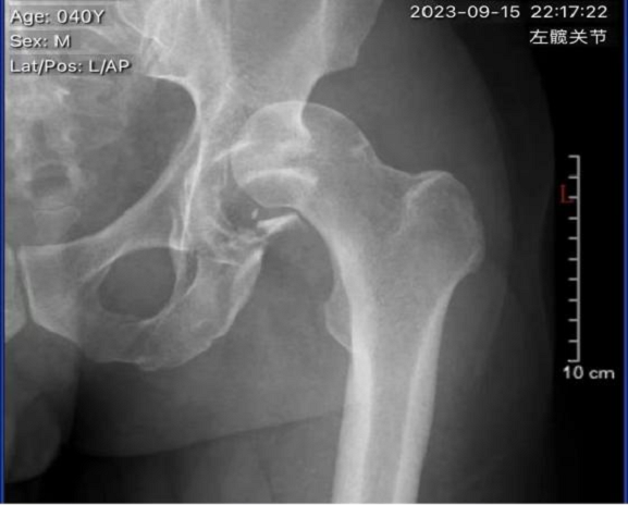
9月25日,外地来的40岁卢先生因粉碎性骨盆骨折几经辗转,被推荐来到贵州医科大学附属白云医院进行高风险高难度高质量手术,因为他“心太大”。
卢先生之前患有严重的扩张型心肌病(Dilated cardiomyopathy ), 简称扩心病(DCM),这是一种非高血压性、非冠脉性的左心或全心扩大、心肌菲薄,最终发生心力衰竭的特发性心肌病变。其具有非常高的全因死亡率(all-cause mortality rate),可引起心衰、心律失常、猝死。

这就是卢先生的大心脏,占据整个胸腔50%以上。
这种病本身就很危险,再因骨盆骨折做手术更是危险!让我们来回顾一下他是如何安全度过手术的?
一、心脏情况
1、24小时Holter:I〫度房室传导阻滞,频发室性早搏伴室早二联律24小时 4635次。
2、心脏超声:左室舒张期末内径LVEDD 68mm (正常<55mm),左室收缩期末内径LVSD 58mm (正常<35mm),EF(射血分数)33%,左室心肌协调并弥漫性减弱。
3、NT-pro-BNP 7574 ng/ml 。
二、骨折情况


骨科医生团队:张卫、齐玉疆、余祥卫
三、风险评估
NYHA分级:III 级;ACC/AHA/HFST分期: C期;低EF心衰HFrEF;Goldman评分:25分(心脏事件 11%);MET(代谢当量):≦4;ASA分级:III 级。
四、麻醉术中心血管评估及管理
根据病人病情,手术方案,相关指南,贵州医科大学附属白云医院麻醉与重症医学科进行全科术前讨论,制定麻醉方式、诱导方案、麻醉维持方案;术中血流动力学优化及维持方案,包括PICCO血流动力学监测,容量管理,优化使用血管活性药物,优化心脏收缩性,心脏前负荷、后负荷,优化系统血管阻力,稳定心律,稳定内环境,维持良好组织灌注。

欧洲心脏病学会指南

美国心脏病学会心衰学会指南

徐金富 曾招彦超声引导PICCO套件置管

肖建超声引导定位硬膜外穿刺

PICCO监测

紧盯监护仪并精准调控监测指标
术中维持心脏指数CI2.6-3.3l/min.m2 ;心功能指数CFI 4.8 l/min;全心射血分数GEF26%;全心舒张末期容积指数GEDI650ml/m²;每搏输出量变异性SVV<13%; 全身血管阻力指数(SVRI)1200-2000dyn.sec.cm-5.m2 ;血管外肺水指数(ELWI)13ml/kg(病人术前有心衰);肺血管通透性指数(PVPI)2.9 (心源性肺水肿)。维持血气分析指标在正常范围。
五、良好转归
术后PCEA,送ICU后清醒拔管,生命体征平稳,次日安返病房。
麻醉科是二级学科,一级临床科室,是保证生命安全的核心学科,是推动“舒适化医疗”的主导学科,是提高医院运行效率的枢纽学科,是反映医院综合实力的关键学科。
病人躺上手术床,麻醉医师保驾护航。麻已不是当年的麻,醉也不是当年的醉,不再是打一针入睡,它是手术灯下的保安队。
(来源:贵州医科大学附属白云医院)
编 辑:向 烨
二 审:毕 锋
三 审:赵 亮