思南县人民医院内镜技术再突破,成功救治脑外伤合并肠扭转老年患者
来源:贵州健康报 时间:2026-04-24 浏览次数:
近日,思南县人民医院胃肠外科联合消化内科诊疗团队,成功为一名重度脑外伤合并急性肠扭转的老年患者实施内镜下肠扭转复位术。该手术的成功,标志着思南县人民医院在内镜急危重症救治领域取得重要突破,进一步提升多学科协作与综合救治能力。

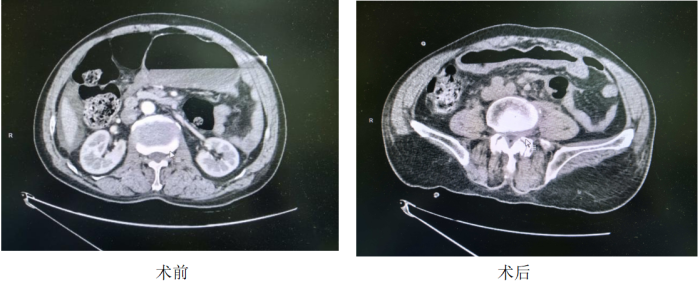
该患者为老年男性,因严重脑外伤在思南县人民医院神经外科住院手术治疗,期间突发腹胀、腹痛、呕吐及肛门停止排气排便,急诊腹部CT确诊为乙状结肠扭转,扭转角度超180度,伴肠管明显扩张。
肠扭转是急腹症急症,延误治疗易致肠管缺血坏死、感染性休克甚至死亡。因患者脑外伤病情重、手术耐受性极差,胃肠外科团队尝试手法复位未果。危急时刻,消化内科内镜团队提出内镜下复位方案,经充分评估风险并与家属沟通后紧急操作,精细操控内镜通过扭转段,借助气体注吸与镜身旋转,成功完成逆向复位。

术后患者症状迅速缓解,复查CT提示肠扭转消失,肠道功能逐步恢复,目前病情稳定。此前此类重症患者需转往上级医院,转运风险极高,此次突破实现了县级医院急危重症精准微创救治,填补了全县内镜下急腹症重症救治的空白。
(来源:思南县人民医院)
编 辑:向 烨
二 审:毕 锋
三 审:赵 亮