思南县人民医院腹腔镜肝癌切除术开启微创诊疗新篇
来源:贵州健康报 时间:2026-03-18 浏览次数:
2026年3月18日,是第26个“全国爱肝日”,本届主题定为“遏制肝硬化,远离肝癌”,围绕“全民参与、主动检测、规范诊疗”核心理念,凝聚医患力量、依托科学诊疗,全力筑牢肝脏健康防线,减轻肝癌疾病负担。
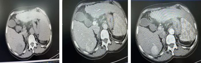
近日,思南县人民医院MDT团队精准施策,为一名59岁乙肝小三阳、肝硬化合并肝细胞癌患者实施腹腔镜下肝S6段切除术,患者术后顺利康复出院。

思南县人民医院普外科深耕微创肝胆手术,感染科专攻各类疑难危重肝病,开展人工肝、乙肝临床治愈(星光计划)、丙肝短程根治等特色技术,更有遵义医科大学、重庆西南医院等省级三甲专家常驻坐诊,让群众在家门口享受优质诊疗。
以医者之技,守护肝脏安康
肝病发病隐匿,酗酒、熬夜、肥胖、肝炎放任不管均易诱发肝硬化、肝癌,病毒感染者、脂肪肝患者等高危人群需警惕早期信号,每6个月做肝功能、B超、AFP筛查。
重视护肝、摒弃陋习,坚持早筛早诊早治,杜绝小病拖成重症,守护全民肝脏健康。
(来源:思南县人民医院)
编 辑:向 烨
二 审:毕 锋
三 审:赵 亮