命悬一线!黔南州人民医院11分钟救治危重脑梗患者

来源:贵州健康报 时间:2026-03-03 浏览次数:

时间就是大脑,速度关乎生机。近期,一场跨越院间的生命接力在黔南州人民医院高级卒中中心紧急上演。经过多学科团队紧密协作、绿色通道高效运转,仅用11分钟成功为一名73岁急性危重脑梗死患者实施紧急介入救治,用专业与速度为患者抢回宝贵生机。

73岁的患者何某,家住荔波县。因突发右侧肢体无力、言语不能3+小时,病情危急。在当地医院紧急评估后,考虑急性脑梗死,第一时间开展规范溶栓救治,并同步启动紧急转诊流程,与黔南州人民医院卒中中心对接后,由120救护车火速送往黔南州人民医院。

当患者抵达医院时,黔南州人民医院卒中救治团队早已严阵以待,卒中绿色通道即刻全速开启:接诊医师快速评估、影像检查同步跟进……每一个环节无缝衔接、环环相扣,只为在最短时间内锁定最优方案。

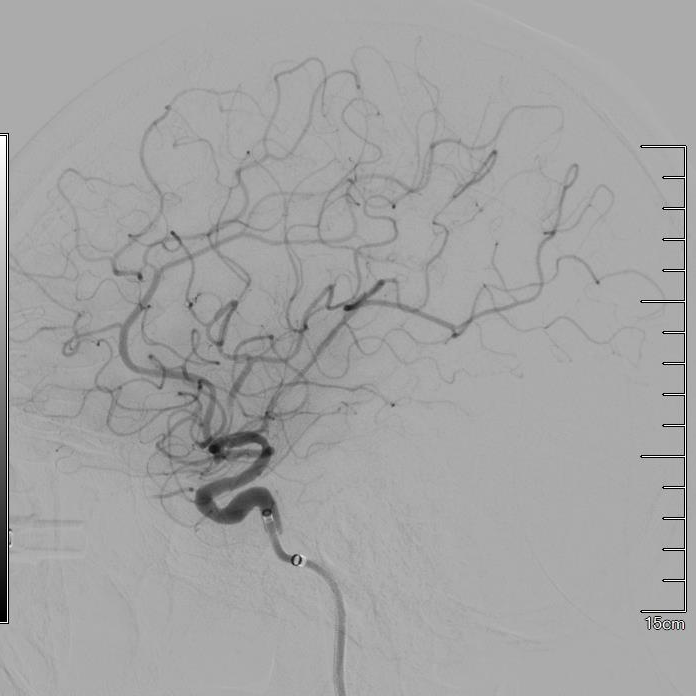
患者术前血管造影证实左侧大脑中动脉M1闭塞

患者术后血管再通

因该患者属大梗死核心,属于急性脑梗死中病情较重的类型,情况危急。经与患者家属充分沟通并征得同意后,救治团队在气管内插管全麻下行脑血管造影+急性缺血性卒中血管内治疗。

术中,专家团队沉着应战、精准操作,凭借过硬技术与默契配合,从穿刺到血管成功再通仅用时11分钟,以“极速救治”完成了这场与死神的赛跑。术后,在医务人员密切监护和精心照料下,患者可基本独立下床活动,预后效果较好,悬在家属心中的“石头”终于落地。

    此次该例危重患者的成功救治,不仅是黔南州人民医院神经介入技术、多学科协作水平的真实体现,更是医院高级卒中中心综合救治能力的有力彰显。作为黔南州唯一一家国家级高级卒中中心,黔南州人民医院将坚持以患者为中心,不断优化急救流程、强化多学科协作、提升急危重症救治水平,以专业诠释担当,为黔南百姓筑起更加坚实可靠的健康防线。

(供稿:黔南州人民医院  蒋茂君

编  辑:周   岩

二  审:杜   明

三  审:龙   艳