4岁男童头痛藏致命危机 上儿贵州医院精准实施救治
来源:贵州健康报 时间:2026-02-25 浏览次数:
头痛,是很多人都有过的小不适,尤其是小朋友,偶尔喊头痛,家长大多会以为是感冒、没休息好。但对4岁的轩轩来说,一场看似普通的头痛,却藏着致命危机。
一个月前,4岁的轩轩突然出现不明原因的间断性头痛。起初,轩轩的父母并未太过在意,误以为只是普通感冒引发的不适,简单护理后便静待孩子好转。可仅仅几天后,轩轩的状况急转直下:头痛愈发剧烈,精神状态日渐萎靡,甚至出现了左侧肢体乏力、活动不便的症状。察觉孩子异常后,父母立即带着孩子前往当地医院检查,检查结果让全家深感绝望——轩轩右颞顶枕叶巨大占位并脑疝。

为给孩子争取最佳治疗机会,轩轩父母赶忙带着孩子来到上海儿童医学中心贵州医院,寻求专业救治。
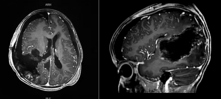
“患儿右侧大脑内长满了肿瘤,最大直径达13公分!”看着轩轩的影像检查资料,儿童神经外科主任医师王超心中一紧。影像结果清晰显示,巨大的瘤体已严重压迫患儿正常脑组织,且已形成脑疝,随时可能夺走孩子的生命,病情危急万分。
尽管患儿脑肿瘤体积巨大,手术难度极高、风险系数极大,但在王超眼中,这是一场不容有失的生命保卫战。凭借丰富的临床经验和精准的病情判断,王超明确:孩子仍有一次性全切肿瘤的希望。
面对轩轩复杂危重的病情,王超团队第一时间启动区域联动诊疗机制,迅速联动上海儿童医学中心、上海儿童医学中心福建医院神经外科团队,开展线上多学科会诊。多方专家齐聚一堂,深入剖析病情细节,反复研讨诊疗方案,最终制定出一套精准、周密的手术计划,为患儿抢下宝贵的治疗时间。
术前准备充分后,在麻醉科、PICU、输血科等多学科团队的紧密配合下,王超带领团队为轩轩施行了神经内镜下右侧额顶枕叶巨大占位切除术。经过3小时40分钟的紧张手术,困扰轩轩的巨大肿瘤被完整切除,手术取得圆满成功。
术后两周,轩轩恢复顺利,未出现任何神经功能损伤,精神状态也逐步好转。目前,轩轩已顺利衔接后续抗肿瘤治疗,实现了肿瘤全切与神经功能保留的理想治疗效果。

结合此次病例,王超特别提醒广大家长:“儿童头痛、头晕等症状看似普通,却可能暗藏严重疾病隐患。家长一定要提高警惕,一旦发现孩子出现异常症状,务必及时带孩子前往正规医院就诊,切勿粗心大意,避免延误最佳治疗时机,给孩子的健康留下不可挽回的伤害。”
(供稿:上海儿童医学中心贵州医院 陈卓 吴悠然)
编 辑:石 磊
二 审:文 叶
三 审:高学军