贵州最小年龄!上儿贵州医院多学科携手 救治2月龄颅内出血患儿
来源:贵州健康报 时间:2026-01-23 浏览次数:
近日,上海儿童医学中心贵州医院神经外科实施脑动静脉畸形破裂切除术,成功救治一名颅内出血患儿。经查证,该患儿是贵州省成功接受脑动静脉畸形破裂切除术的最小年龄患儿,也是国内接受外科干预治疗的最小年龄段患儿之一。
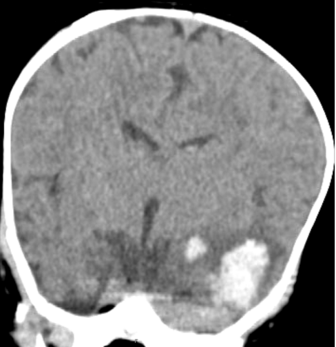
2月龄的木木(化名)突然出现不明原因的呕吐和精神萎靡。在当地医院CT检查提示“左侧颞叶出血”后,不到半天时间,木木的意识便模糊不清并陷入昏迷。


看着孩子小小的身体毫无反应,木木父母心急如焚,连夜联系救护车将孩子送往上儿贵州医院救治。
该院神经外科主任医师王超接诊后,第一时间为木木进行详细查体,凭借丰富的临床经验,高度怀疑患儿颅内出血是由血管畸形破裂所致,当即决定联系影像科完善头颅CT及血管成像检查,以进一步明确病因。
“CT检查证实,木木的颅内出血确实源于脑动静脉畸形破裂。”王超表示,“更棘手的是,我们在患儿供血动脉处发现了两个巨大的瘤样鼓包,患儿情况不容乐观。”
王超迅速组织麻醉科、PICU、输血科等多学科团队,为患儿实施急诊手术。
患儿年龄小、病灶位置深,而供血动脉处的瘤样鼓包一旦破裂将会引起大出血,这对医生的技术和耐心都是极大的考验。
手术当天,王超团队相互配合,用时3小时成功清除了血肿并全切畸形血管团,完整保留了毗邻的重要血管及神经,手术顺利完成。
术后,木木在PICU予重症监护及生命支持治疗,3天后转入普通病房,并顺利康复出院。
(供稿:上海儿童医学中心贵州医院)
编 辑:周 岩
二 审:杜 明
三 审:赵 亮