第六例!黔南州人民医院又双叒叕成功了
来源:贵州健康报 时间:2025-12-17 浏览次数:
近日,黔南州人民医院心血管内二科联合神经内科MDT团队成功实施了一例在脑保护装置护航下的高难度经皮左心耳带血栓封堵术,为一位病情复杂的房颤患者化解了多年的健康危机。

本例治疗中,患者是一位患有持续性房颤达三年且左心耳存在血栓的79岁老人,常规手术治疗已无法进行。此外,该患者还合并胃溃疡、屡发消化道出血,卒中风险也居高不下。更甚至,其左心耳口部还附着大块血栓,具有术中血栓脱落可能导致栓塞的较高风险,使得该例病例手术的复杂性与风险远超常规,方案的制定面临严峻挑战,要求团队必须具备处理高脱落风险血栓的能力。


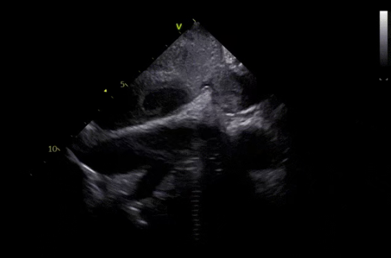
ICE扫描心耳评估血栓位置

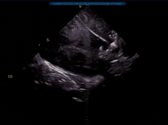
渐进式将血栓推行远端
面对左心耳口部存在不稳定血栓这一核心难点,心血管内二科迅速联合神经内科、介入医学科等多学科专家进行深入评估。为最大程度确保治疗安全,团队最终确定了结合心腔内超声引导与“脑保护装置下带栓封堵”的个体化手术方案,为手术提供了至关重要的“双重保险”。
术中,治疗团队在心腔内超声和脑保护装置的全程守护下,精准处理了血栓,并成功释放封堵器。术后即时评估显示,治疗达到了预期目标——将血栓完全封堵左心耳内,且术中未发生任何血栓脱落并发症。手术取得成功!

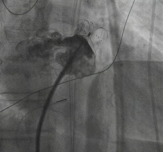
造影封堵成功

取出脑保护器、无血栓

术后左右脑血管造影一切正常
“左心耳带栓封堵”手术是临床前沿高难度手术,黔南州人民医院心血管内二科主任、主任医师曾安宁作为“T-LOVE”左心耳带栓封堵术式全国首批认证术者,已带领团队多次开展规范化左心耳带栓封堵手术。此次治疗病例为团队完成的第六例“左心耳带栓封堵”手术患者,标志着黔南州人民医院在应对心血管领域复杂危重病例方面,具备了整合前沿技术、制定并执行高难度个体化治疗方案的综合能力。
(供稿:黔南州人民医院 王侦宇)
编 辑:石 磊
二 审:杜 明
三 审:高学军