遵义医科大学附属医院:精准微创打通“生命通道” 八旬肿瘤患者重获进食希望
来源:贵州健康报 时间:2025-11-15 浏览次数:
近日,因为十二指肠肿瘤肠腔狭窄频繁呕吐,无法经口进食一周的85岁张大爷,经过遵医附院消化内科团队创新采用超级微创技术——超声内镜引导下胃空肠吻合术(EUS-GE),应用超声内镜引导将双蘑菇头支架至于胃与空肠之间,使食物能越过梗阻部位,通过重建的消化通道进入肠道,有效解决了患者因疾病导致无法进食的难题,也为后续治疗提供了营养基础。
因为十二指肠肿瘤引发十二指肠腔狭窄,张大爷1周前出现频繁呕吐症状,无法正常进食,营养摄入严重受限,身体日渐消瘦,生活质量急剧下降。张大爷的病情核心在于十二指肠肿瘤引发的胃流出道梗阻 —— 肿瘤堵塞了食物下行通道,导致进食后食物无法顺利进入肠道,进而引发剧烈呕吐。由于患者年事已高,身体机能较弱,传统开腹手术不仅创伤大、出血风险高,术后恢复周期长,且耐受度极低,治疗陷入两难。

面对这一高龄、高风险病例,为破解治疗困境,遵医附院消化内科团队迅速组织多学科会诊,对患者的身体状况、肿瘤分期及梗阻程度进行全面评估。考虑到患者高龄,外科手术风险大,恢复慢,最终决定摒弃传统手术方案,选择采用目前国内外内镜领域的高难度技术 ——超声内镜引导下胃空肠吻合EUS-GE,为患者创建新的消化通路。该技术无需开腹,仅通过内镜设备,在超声的精准引导下,将特殊器械穿透胃壁与空肠壁,建立起一条直接连接胃与空肠的“捷径”,让食物绕过梗阻的十二指肠,直接进入肠道完成消化吸收,从根源上解决梗阻问题。

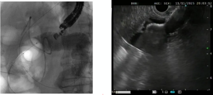
EUS-GE 对医生的操作精准度、临床经验和应急处理能力要求极高。目前国内EUS-GE 临床应用尚未普及,仅部分发达地区大型医院具备开展该技术的条件。该手术操作过程中需实时通过超声定位,避开血管、肝脏等重要脏器,同时确保吻合口牢固、通畅,避免出血、穿孔等并发症的发生。为此,消化内科内镜医生、麻醉医生及护理团队提前制定了详细的手术预案,11日下午为张大爷施行了手术。术中医护团队密切配合、精准操作,应用胃镜将超滑导丝送入狭窄远端肠管,在X线定位下送入球囊封堵远端空肠,注入造影剂使空肠近端显影,使用超声内镜在胃腔内定位,将双蘑菇头支架精准置入空肠与胃之间,仅用 40 分钟就顺利完成通道建立,全程无出血、无并发症发生。
术后第二天,张大爷即可少量进食流质食物,未感觉不适、无腹胀恶心等表现,经过几天的康复护理,其营养状况得以改善,身体机能逐步恢复。
相较于传统手术,EUS-GE创伤小、术后恢复快,能精准打通患者消化道梗阻通道,为患者后续营养支持和疾病治疗创造条件,适用于胃肠道恶性肿瘤所致的消化道梗阻及良性疾病引发的消化道狭窄,尤其适用于无法耐受外科手术的患者。此次手术的成功开展,不仅展现了遵医附院消化内科在高龄复杂消化道疾病微创治疗领域扎实的技术实力与创新能力,也为同类高龄、高危消化道梗阻患者提供了安全有效的治疗新选择,填补了区域内该类高难度内镜技术的应用空白。

X线下见支架在位
遵医附院消化内科将持续聚焦内镜微创技术的创新与推广,不断拓展技术边界,为更多疑难消化道疾病患者带来更优质、更精准的医疗服务。
(来源:遵义医科大学附属医院消化内科 王迅)
编 辑:向 烨
二 审:毕 锋
三 审:赵 亮