13公斤盆腔巨瘤成功摘除!中山一院贵州医院(贵医附院贵安院区)书写生命奇迹
来源:贵州健康报 时间:2025-11-12 浏览次数:
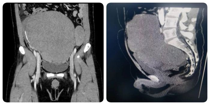
近日,在中山一院贵州医院(贵医附院贵安院区)党委书记、执行院长、泌尿外科学科带头人孙祥宙指导下,在科主任李彦锋支持下,主任医师沈俊带领主治医生张卫军、梁大廷、申开文为一名患者实施盆腔巨大肿瘤切除术,将重达约13公斤、直径25厘米的肿瘤完整摘除,用精湛医术为患者重燃生命之光。
沈俊介绍,盆腔作为人体腹腔深部的“生命枢纽”,密布着血管、神经及生殖泌尿关键器官,一旦此处滋生巨大肿瘤,便如一颗潜藏的“定时炸弹”,不仅压迫周围组织引发剧烈疼痛、排尿排便障碍,更可能危及生命。该患者入院时,盆腔肿瘤已导致其下腹部明显隆起,伴随持续性腹痛、尿频尿急等症状,生活质量严重下降。经全面检查,肿瘤与髂血管、输尿管等重要结构紧密粘连,手术切除难度极高,稍有不慎便可能引发大出血、器官损伤等严重并发症。
“我之前也去其他地方看过,但是因为这个肿瘤情况比较复杂,难度很大,所以就一直没有好的治疗方案。”患者表示。面对患者的迫切期盼,医院立即组建由泌尿外科、麻醉科、血管外科、肛肠外科等多学科专家组成的诊疗团队,开展联合会诊。团队反复研读影像学资料,精准评估肿瘤位置、大小及与周围组织的关联,历经多次讨论,最终制定出精准分离、分步切除、全程保护的个性化手术方案,同时做好各项应急预案,确保手术万无一失。

手术当日,在麻醉科团队的精准配合下,沈俊凭借丰富的临床经验,小心翼翼地逐层切开腹部,精准避开重要血管神经,对与肿瘤粘连的组织进行细致分离。术中,肿瘤血供丰富,并且侵犯了膀胱壁及直肠前壁狄氏筋膜,操作空间极度狭小,每一个动作都考验着医生的耐心与精准度。团队成员默契协作、沉着应对,每一个动作都力求精准,历经7小时的奋战,成功将这颗困扰患者的巨大肿瘤完整切除,并彻底止血、关闭切口。

术后,患者在重症监护室经过短暂观察后转入普通病房,在护理团队的精心照料下,患者恢复情况良好,术前的腹痛、尿频等症状彻底消失,目前已能下地活动。“没想到这么大的肿瘤能被成功切除,是中山一院贵州医院(贵医附院贵安院区)给了我第二次生命!” 患者及家属对泌尿外科团队表达了由衷的感谢。
此次盆腔巨大肿瘤的成功切除,不仅体现了中山一院贵州医院多学科协作的强大实力,更彰显了泌尿外科团队在高难度手术领域的精湛技艺与责任担当。作为国家区域医疗中心,我院始终坚持以患者为中心,不断攻克医学难题,引进先进诊疗技术,致力于为广大患者提供更优质、更高效的医疗服务,用实际行动守护群众生命健康。
(贵州健康报)
编 辑:向 烨
二 审:毕 锋
三 审:赵 亮