4岁女童腹中惊现“足球”?贵医大二院普外科团队破局救人
来源:贵州健康报 时间:2025-09-09 浏览次数:
近日,一名4岁患儿及其家属满怀感激之情,将一面精心制作的锦旗送到了贵州医科大学第二附属医院普外科医护人员手中。这面锦旗不仅承载着他们对普外科医护人员深深的谢意,更是对普外科医护人员精湛医术的高度认可。

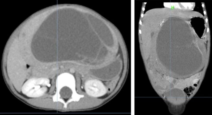
据悉,这位4岁的患儿因腹腔长了一个“足球”大小的肿瘤而备受病痛折磨,这个肿瘤不仅让孩子腹部胀痛难忍,还影响了正常的消化功能和生长发育。患儿家属经多方打听,来到了贵州医科大学第二附属医院。普外科团队在了解患儿病情后,迅速为该患儿安排了全面细致的检查。术前影像结果提示患儿中上腹腔有一巨大囊实性肿瘤,具有恶性倾向,并且已对患儿腹腔脏器形成挤压,亟须手术治疗。

术前CT图像
因该疾病极为罕见,患儿病情复杂,经科室讨论后邀请儿科、影像科、麻醉科、肿瘤科等专业的专家进行多学科会诊。专家们针对患儿术前准备、术中麻醉及监护、术后治疗及护理进行逐一讨论,制定了科学、精准且个性化的治疗方案。随后,由普外科科主任杨海峰带队,科室小儿外科专业组副主任医师刘俊、主治医师刘泽生医疗团队共同协作,顺利完成手术。
术中探查发现,该肿瘤直径约20cm,占据了该患儿腹腔的中上部,致其腹腔内器官严重受压,影响正常功能。并且该肿瘤与肝脏尾状叶粘连致密,其滋养血管来源于下腔静脉,整个肿瘤基底部与下腔静脉生长密切。普外科团队凭借精湛的医术和丰富的经验,犹如刀尖上的舞者,小心翼翼地剥离肿瘤,避免了术中副损伤及大出血。经过数小时的紧张奋战,终于完整地切除了肿瘤,手术取得了圆满成功。
术后,护理人员对患儿悉心照料,密切关注其恢复情况,指导家属进行科学护理。在医护人员的共同努力下,患儿恢复良好,身体逐渐康复并出院。
本次高难度手术的成功实施,不仅体现了我院多学科协作(MDT)模式的显著优势,更彰显了普外科小儿外科专业组在复杂病例救治中的技术实力与学科担当。未来,医院将继续深耕小儿外科领域,推动技术创新与服务优化,以更精湛的医术、更温暖的关怀,为区域内外儿童健康保驾护航。
(来源:贵州医科大学第二附属医院)
编 辑:向 烨
二 审:毕 锋
三 审:赵 亮