贵州医科大学附属肿瘤医院在省内率先开展国际领先放疗新技术——空间分割放疗(SFRT)

来源:贵州健康报 时间:2025-08-18 浏览次数:


        什么是空间分割放疗(SFRT)?

非小细胞肺癌中约三分之一为局部晚期非小细胞肺癌(LA-NSCLC),标准的治疗方案为同(期)步放化疗联合免疫维持治疗。然而LA-NSCLC治疗后的局部复发仍然是一个重要问题,提高局部控制率、促进放疗对免疫治疗的协同作用具有较大的临床意义和社会价值。


空间分割放疗(Spatially Fractionated Radiotherapy,SFRT )运用了峰谷交替的剂量分布方式,与传统的照射相比,SFRT能有效地治疗肿瘤并保护肿瘤周围正常组织的功能和完整性,具有独特的放射生物学反应机制,如旁观效应、微血管变化和免疫调节等。临床研究显示,无论是巨大的转移瘤还是原发性肿瘤,SFRT都表现出显著的治疗效果,尤其是优秀的肿瘤局部控制率,约90%,并且安全性良好。


自2024年7月起,由卢冰教授率领贵州医科大学附属医院、附属肿瘤医院胸部肿瘤科团队和放射物理师团队率先开展SFRT的临床应用,至今已完成几十例患者的临床治疗。第1例应用SFRT治疗的患者由卢冰教授带领李青松副主任医师、胡银祥高级工程师完成。对一例LA-NSCLC患者在同期放化疗联合免疫维持治疗的标准治疗模式中,放疗采用SFRT,疗程结束时肿瘤明显缩小,定期随访发现肿瘤完全消失(图示),取得了远超常规放疗的临床效果,而且无明显的放疗并发症,病人生活质量满意,可自行驾车外出游玩。


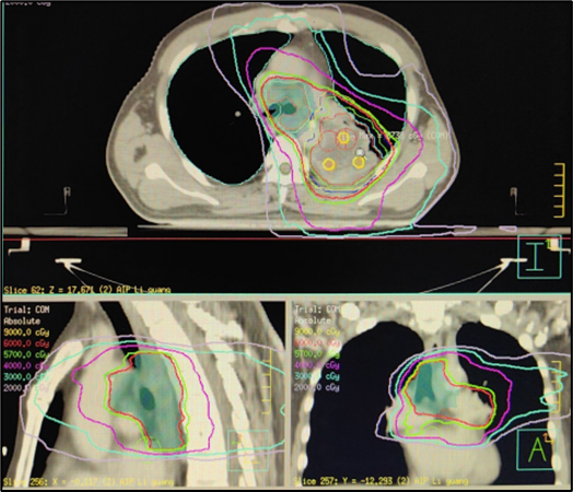
SFRT放射治疗计划


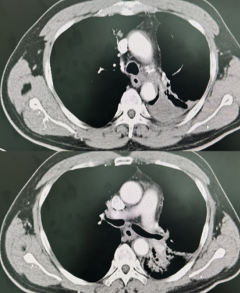
治疗前

CT影像

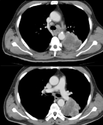
放疗结束后

1个月CT影像

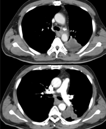
放疗结束后

7个月CT影像


    SFRT临床结果由李青松副主任医师在“2024年贵州肺癌论坛”进行学术专题和临床研究报告交流。目前为止,肿瘤科团队苏胜发教授、李青松副主任医师、胡银祥高级工程师、金海洁工程师、张皓嘉工程师等完成了几十例复杂病情患者的SFRT治疗,取得了优秀的疾病控制率和客观缓解率,并且安全性良好,已经成为肿瘤科常规的临床放射治疗措施。



国际原子能机构【IAEA】2022年指出:SFRT是国际放疗领域未来发展的三大方向之一。贵州医科大学附属医院、贵州医科大学附属肿瘤医院肿瘤科在贵州省内率先开启了SFRT的临床治疗,继续引领贵州省肿瘤事业的发展。团队将持续紧盯国际放疗技术发展前沿,持续开展放疗新技术的高质量临床应用,为患者提供优质医疗服务,提高治疗效果,改善生活质量。助力健康中国,我们一直在行动!



(供稿:贵州医科大学附属肿瘤医院)

编  辑:石   磊

二  审:马春晓

三  审:高学军