贵州医科大学附属肿瘤医院查癌利器PET-CT再显神威

来源:贵州健康报 时间:2025-08-13 浏览次数:

颅内多发占位是临床常见难题,胶质瘤、转移瘤、淋巴瘤等均可表现为类似影像,临床上仅靠核磁共振(MRI)难以鉴别。自贵州医科大学附属肿瘤医院引入PET-CT后,为颅内肿瘤的诊断安装了一双“锐利的眼睛”,实现了“精确鉴别”的飞跃。

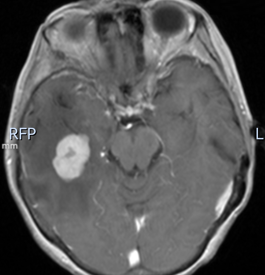
61岁的患者王女士因头痛10余天就诊外院,经头颅核磁共振检查显示颅内多发结节状占位,分布于双侧大脑半球及基底节区等部位,呈结节样强化,周围伴有明显水肿带。上述的描述与常见的“颅内多发转移瘤”(如肺癌、乳腺癌等实体瘤转移至脑部)高度相似,外院初步诊断为转移瘤,建议进一步寻找原发肿瘤灶。

患者核磁共振检查

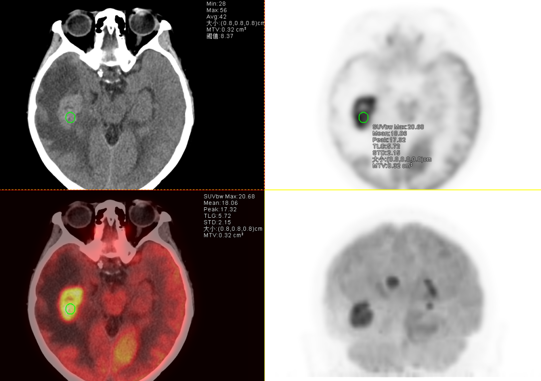
为明确原发灶及病变性质,王女士来到贵州医科大学附属肿瘤医院进行了全身PET-CT检查,结果呈现几点特征:颅内多发结节代谢显著增高,较大的结节位于右侧颞叶,大小约3.2*2.1cm,且病灶周围水肿区的代谢相对较低,这很符合中枢神经系统淋巴瘤的表现。全身其他部位未见明确高代谢肿瘤灶,包括常见转移部位如肺、肝、骨等,因此基本排除实体瘤转移的可能。中枢神经系统淋巴瘤虽影像上常表现为“多发占位+水肿”,但其代谢活性通常更均匀且显著(因淋巴瘤细胞增殖活跃,葡萄糖代谢极高),而转移瘤水肿区代谢增高(因炎性反应),且多能找到原发肿瘤,因此,结合PET-CT全身无原发灶的证据,最终诊断为“原发性中枢神经系统淋巴瘤”。

患者PET-CT检查

患者经后续的颅内病灶立体定向活检,其病理结果证实为“弥漫大B细胞淋巴瘤(原发中枢神经系统)”,与PET-CT诊断完全一致。目前患者已在该院淋巴瘤科进行专科治疗,疗效显著。

该院核医学科副主任雷鹰分析,中枢神经系统淋巴瘤(CNSL)是一种罕见的结外淋巴瘤,原发于脑、脊髓或软脑膜,其中弥漫大B细胞淋巴瘤占比超90%。通常情况下,传统诊断依赖活检,但其影像学易与转移瘤、胶质母细胞瘤混淆,而PET-CT的优势恰好弥补了这一不足,可通过代谢特征提供重要线索,从而辅助临床制定更精准的诊疗策略。

PET-CT被誉为“现代医学高科技之冠”,可以对疾病进行“定位”“定性”“定量”“定期”诊断。一次扫描可获得全身图像,能够一目了然地观察全身状况,对于早期发现和诊断病变、恶性肿瘤病人临床分期具有重要意义。上述病例正是整合了核磁共振及PET-CT多模态影像,通过利用CT及核磁共振提供的解剖结构信息,再结合PET探测肿瘤等病变组织的代谢活性做出了精准诊断。一次检查即可了解全身情况,能够准确反映出病变的生物学活性和是否存在其他原发灶的特点,是实现精准诊断、避免误诊误治的重要方式之一,为患者的诊断和后续治疗奠定了坚实基础。

淋巴瘤作为威胁我国民众健康的十大恶性肿瘤之一,其年新发病例数已突破10万大关。这种源自淋巴系统的狡黠病魔,以其全身播散的特性,给传统检查手段带来了挑战。作为现代医学的“侦查尖兵”,PET-CT不仅能让患者在精准医疗的护航下避免过度治疗的痛苦,还可在规范应用的情况下降低总体治疗费用,提升生存率,为更多的患者及家庭带来希望。



(供稿:贵州医科大学附属肿瘤医院

编  辑:石   磊

二  审:马春晓

三  审:高学军