七旬老人患眼部恶性肿瘤,两院多学科专家协作“围剿”成功缩瘤

来源:贵州健康报 时间:2025-08-07 浏览次数:

眼眶肿块瘙痒、出血三年,近来逐渐增大、刺痛、视力下降……随着肿块的增大恶变甚至可危及生命!近日,这位难治性眼眶鳞癌患者在贵州医科大学附属医院与贵州医科大学附属肿瘤医院两院多学科协作下,成功缩小肿瘤,减轻症状,挽救生命,实现了在疑难肿瘤综合诊治方面的又一突破。


眼眶患恶性肿瘤

两院多学科专家联合施策


72岁的赵奶奶,三年前发现右侧眼眶有一大小约 0.5*0.5cm的包块,伴有瘙痒、出血,后在家人劝说下在外院行“眶内肿物切除+眼睑肿物切除”术,术后病理诊断为中分化鳞状细胞癌(右眼眶肿瘤)。以为手术切除了就万事大吉,谁知肿瘤再次复发。一年前,同样的部位再次长出包块并伴有刺痛,赵奶奶来到了贵州医科大学附属医院眼科,CT增强扫描结果提示其“右额部-眶周-颧部-耳颞部皮下及扫及腮腺区多发占位”,病灶6.1*5.0cm大小,高度怀疑肿瘤复发。


为了对症下药,贵州医科大学附属肿瘤医院头颈肿瘤科、贵州医科大学附属医院眼科及耳鼻喉科进行了多学科会诊。讨论中,两院多学科专家从各科专业角度提出建议,共同制定综合化、个体化治疗方案。考虑到患者肿瘤负荷较大,且有基础疾病病史,贵州医科大学附属肿瘤医院头颈肿瘤科主任金风教授提出采用复发病灶+颈部转移淋巴结放疗,同步靶向治疗的综合治疗策略。由此,一场肿瘤的两院多学科联合攻坚战正式打响。


精准“围剿”

难治性肿瘤治疗带来转机


赵奶奶转到贵州医科大学附属肿瘤医院后,头颈肿瘤团队立即结合她的既往病史、体格情况及各项检查结果再次全面评估,金风教授制定了具体治疗方案。经过第一阶段放射治疗同步靶向治疗后,肿瘤体及颈部淋巴结转移病灶明显缩小,患者症状消失,挽救了生命。治疗的胜利标志着团队采用的综合治疗方案的有效性和精准性,使该复杂难治性病灶得到有效控制,为患者后续治疗争取了宝贵的机会。在主管医师龚修云副主任医师、黎小梅主治医师及头颈肿瘤团队的精心治疗和悉心护理下,赵奶奶恢复良好,各项指征正常,近期顺利出院。


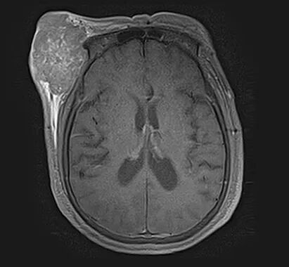
治疗前

治疗后

治疗前(影像图)

治疗后(影像图)


该复杂难治性眼眶鳞癌的成功诊治,不仅为患者保住了眼周组织,更提升了患者术后的生活质量,展现了医院在处理复杂病例方面的专业素养和多学科团队协作的综合实力,彰显出头颈肿瘤科精湛的技术和对生命的坚守。金风教授表示:“当面对复杂难治性的肿瘤疾病时,只有发挥多学科联合的最大优势,整合各专科优质资源,才能更好地促进疑难病例诊治科学化、规范化,为每一位患者最大限度地争取生存机会。”


(供稿:贵州医科大学附属肿瘤医院

编  辑:周   岩

二  审:文   叶

三  审:龙   艳